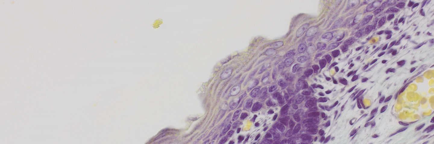
明场_人体皮肤_Axiocam-212-color
应用案例

组织学研究

在组织学和组织病理学研究中,出色的显微镜解决方案可提高诊断效率和准确性。

革新组织检查

通过整合先进的光学技术、人工智能驱动的图像分析和无缝数字工作流,蔡司助力研究人员更快、更准确地诊断和深入了解组织结构。秉持对技术创新、可靠性和以用户为导向的设计的重视,蔡司使组织病理学家能够推动生物医学研究的发展,改善患者的治疗效果。全面的产品组合包括光学、电子和X射线显微镜,支持多尺度成像和相关工作流,确保全面了解复杂的生物系统。凭借数十年的专业积累及全球化服务支持,蔡司始终是推动组织病理学研究不断前进的值得信赖的合作伙伴。

  • 不同的组织类型和模态

    从正置和倒置显微镜到玻片扫描系统、lightsheet和扫描电子显微镜,蔡司的产品组合为您的成像和样品需求提供了很高的灵活性。

  • 直观的实时多光谱成像

    同时捕获多个荧光标记,避免信号干扰,缩短采集时间。

  • 自动化和可重复的分析

    软件解决方案提供自动人工智能分割、测量和分析,可大幅减少人工分析时间并确保可重复性。

得益于我们的样品制备方法和先进的光片显微镜,无需对样品进行物理切片,便能以三维方式观察整个组织样品。我们能够在数秒或数分钟内完成快速光学切片并获得数千张数字图像,大大提高了通量。

René Hägerling博士 LIMAA科技公司联合创始人

组织学常见问题

  • 蔡司为组织学量身定制了多种显微镜解决方案,包括:

    • 光学显微镜:用于常规组织学分析,如蔡司Axioscope和蔡司Primostar。
    • 数码显微镜:用于记录和共享,如蔡司智能显微镜系统。
    • 共聚焦显微镜:用于组织切片的高分辨率成像,如蔡司LSM 990。
    • 玻片扫描系统:用于组织玻片的数字化处理,如Axioscan 7。
  • 是的,蔡司显微镜与所有标准组织学染色剂兼容,包括:

    • 苏木精-伊红(H&E)
    • 过碘酸希夫(PAS)
    • 免疫组化(IHC)染色
    • 用于高级成像的荧光染料

    蔡司系统经过优化,可提供准确的色彩再现和荧光成像,确保获得可靠的结果。

  • 以下是蔡司为组织学和组织病理学提供的主要荧光成像选项,涵盖了从常规IHC到高级多重和三维组织分析的各方面:

    • 正置研究显微镜:蔡司正置研究显微镜(如Axio Imager系列)具有出色的光学性能、模块化设计和先进的成像功能,是生命科学、材料研究和组织学等高要求应用领域的理想之选。
    • 倒置显微镜:Axio Observer系列等蔡司倒置显微镜专为先进的活细胞成像和材料研究而设计,具有出色的稳定性、灵活性和高分辨率成像,适用于动态和长期研究。
    • 数字玻片扫描:Axioscan 7等系统可提供全玻片自动荧光成像,具有多个滤光通道、自动聚焦和高通量扫描功能,非常适合多重IHC和数字病理工作流。
    • 激光扫描和超分辨率显微镜:使用聚焦激光束逐点扫描样品。共聚焦显微镜能够通过针孔消除非焦平面杂散光,从而获得具有高对比度的优质光学切片,并实现三维结构的高分辨重构。
    • Lightsheet显微镜:Lightsheet 7这样的系统可在光损伤很小的情况下对透明的整个器官或大型组织进行荧光成像,捕捉完整的三维组织学背景。
    • 关联显微镜和体电镜:将荧光(宽场或共聚焦)与蔡司GeminiSEM或Volutome相结合,可精准地将荧光标记与显微结构相关联。
  • 可以,蔡司提供可定制的解决方案,包括:

    • 模块化显微镜配置。
    • 专用物镜和滤光片,满足独特的成像需求。
    • 量身定制的软件工作流。
    • 我们为您提供个性化的显微镜应用服务。
  • 蔡司提供全套软件,旨在支持组织学和组织病理学工作流从图像采集到分析、数据管理和云协作的每个阶段。以下是主要产品及其功能:

    • 蔡司arivis软件套件:针对二维、三维和四维数据集的高级图像分析和大型数据管理。
    • 蔡司ZEN:作为核心采集与分析平台,可简化多通道组织成像流程,并通过可重复的分析步骤,对染色效果或生物标志物进行定量评估。
全面解决方案与能力

探索我们的应用程序中心

探索应用方案,为您的独特实验室需求发现量身定制的解决方案,提升您的研究能力。